Ensuring the Safety and Efficacy of RNA Therapeutics Through double stranded RNA (dsRNA) Impurity Control

Introduction: The Critical Need for Purity in RNA-Based Medicines
RNA-based medicines represent a rapidly advancing class of treatments that leverage RNA molecules to modulate gene expression for therapeutic purposes, addressing a wide array of diseases, including cancer, genetic disorders, and viral infections. As the demand for these therapeutics grows, maintaining the purity, stability, and efficacy of the final RNA product is essential for clinical applications.

A critical challenge faced during the development and manufacturing of RNA-based therapies is the presence of unintended impurities, particularly double-stranded RNA (dsRNA). While dsRNA is an inevitable byproduct of the in vitro transcription (IVT) process, unchecked contamination can severely jeopardize both the safety and effectiveness of the treatment.

Understanding dsRNA: Formation and Mechanism of Interference
Double-stranded RNA is a structural form of RNA composed of two complementary strands bound together in a helical formation. In mRNA manufacturing, dsRNA emerges as a byproduct during the IVT process where RNA polymerases synthesize mRNA from a DNA template.

Sources of this undesired impurity include:

  • Secondary Structures/Hairpins: Formed by self-complementary sequences (self-annealing).
  • Transcription Errors: Specifically, incomplete termination or re-initiation.
  • Antisense Transcription: RNA created from the opposite DNA strand hybridizes with the sense mRNA.

 

Figure 1. Schematic representation of possible mechanisms of dsRNA byproduct formation during in vitro transcription (Ref1)

The presence of dsRNA in mRNA-based medicine carries significant risks to therapeutic efficacy:

  • Innate Immune Activation: dsRNA is recognized by the innate immune system as a viral signature, primarily via pattern recognition receptors (PRRs) such as Toll-like receptor 3 (TLR3) and retinoic acid-inducible gene I (RIG-I). This recognition can trigger potent immune responses, leading to inflammation, fever, and a diminished therapeutic effect, which is especially critical in vaccines or chronic therapies.
  • Reduced Protein Expression: Because dsRNA resembles a viral genome, the cell’s machinery often degrades it as a defense mechanism, leading to lower translation efficiency of the therapeutic mRNA or circRNA.
  • Batch-to-Batch Variability: Inconsistent strategies for dsRNA removal introduce variability in manufacturing, making it challenging to achieve reproducible clinical outcomes, posing major roadblocks for regulatory approval and clinical consistency.

Ultimately, uncontrolled dsRNA contamination can reduce treatment effectiveness and safety.

 

The Analytical Solution: High-Accuracy dsRNA Standards and Ladders
To ensure safe and consistent manufacturing of mRNA therapeutics, the precise detection and control of dsRNA during RNA IVT are essential. Researchers and manufacturers rely on robust analytical and detection methods, including dsRNA-specific ELISA assays, electrophoretic separation with dsRNA ladders, next-generation sequencing, chromatography, and state-of-the-art proprietary technologies.

ECHO Bio offers Double-strand RNA standards and ladders—tools designed to empower researchers to benchmark and quantify dsRNA impurities with high accuracy.

Applications and Benefits of dsRNA Standards and Ladders:

These tools are crucial for quality control (QC) testing and process optimization and can be utilized in any laboratory setting for:

  • Reliable Assessment: Accurately assessing dsRNA contamination levels at various stages of the production process.
  • Standardized Calibration: Providing standardized calibration necessary for quality control testing.
  • Optimization: Facilitating comparisons across different manufacturing conditions to optimize purification steps.

ECHO Bio offers a comprehensive selection of long dsRNA controls, ideal as reliable standards for dsRNA detection assays.

  • dsRNA500, dsRNA 1000, and dsRNA1500 bp: Extended double-stranded RNA molecules with UTP or N1-Methylpseudouridine-5'-Triphosphate (N1MePsU)  modification for robust applications.
  • dsRNA hairpin70: A unique single-stranded RNA with UTP or N1-Methylpseudouridine-5'-Triphosphate (N1MePsU)  featuring a distinct 3' terminal hairpin

Key Advantages of ECHO Bio dsRNA Controls

  • Unmatched Precision: Delivering high precision and consistency for dependable, reproducible dsRNA assay results.
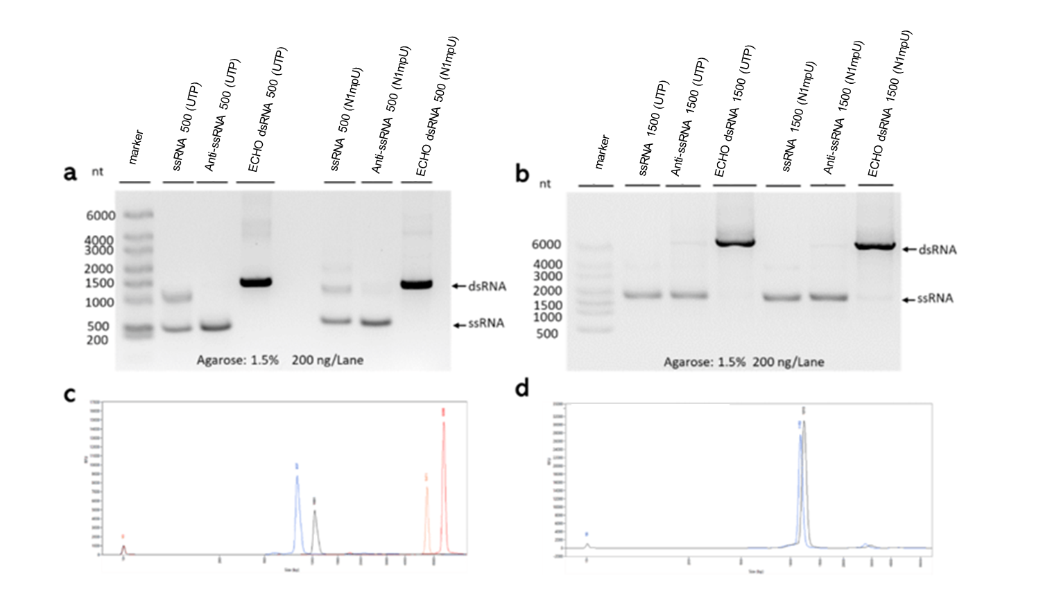
  • Guaranteed Purity: Over 80% purity validated by CE, AGE, and SEC, manufactured under strict quality control (Figures 2 & 3).
  • Broad Application: Versatile 
    for diverse research areas and compatible with all major dsRNA detection platforms (ELISA, immunoblotting, microfluidic electrophoresis).
  • Enhanced Specificity: Shows stronger J2 antibody binding than Poly I:C, with consistent recognition across molecular weights (Figure 4).

 Agarose gel electrophoresis (AGE) and capillary electrophoresis (CE) of dsRNA ControlsFigure 2. Agarose gel electrophoresis (AGE) and capillary electrophoresis (CE) of dsRNA Controls. ACE to detect dsRNA 500 (a) and 1500 (b); CE to detect dsRNA 500 and dsRNA 1500 (c) and dsRNA hairpin70.

 

 

Size exclusion chromatography (SEC) of dsRNA Controls.

Figure 3. Size exclusion chromatography (SEC) of dsRNA Controls.

 

 

. Representative Dot blot images to detect dsRNA Controls

Figure 4. Representative Dot blot images to detect dsRNA Controls. dsRNA 500, dsRNA 1500 (A) and dsRNA hairpin 70 (B) detection by anti-dsRNA (J2) antibody.

 

Reference:

  • Roy, B., & Wu, M. Z. (2019). Understanding and overcoming the immune response from synthetic mRNAs: New England biolabs focuses on formation and detection of dsRNA byproducts during in vitro transcription. Genetic Engineering & Biotechnology News, 39(12), 56-58.

 

 

 

4 months ago
23 view(s)
Copyright © 2021-present Echo Biosystems. All rights reserved.